Monday, January 11, 2016

Growing Rods Spine Surgery

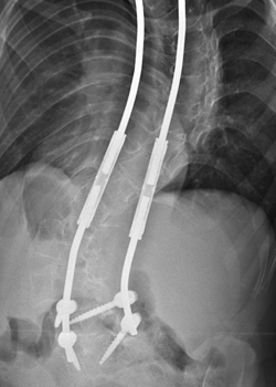
Growing Rods Spine Surgery Images

NEWS RELEASE ADVISORY - Ellipse Technologies
FOR IMMEDIATE RELEASE SURGEONS IMPLANT MAGNETIC GROWING RODS IN GROUNDBREAKING TREATMENT FOR EARLY-ONSET SCOLIOSIS The magnetic growing rods are attached to one or both sides of the spine. Following surgery, these rods can be lengthened non-invasively as the child grows using an external remote ... Return Document

Removing Metal Plates, Screws, Rods After Surgery
In some cases metal implants, plates, screws, and rods may be removed. About.com. Food; Health; Home; Money; Style; Tech; Travel; More There are potential complications of surgery to remove metal implants. Spine, & Neck Information; ... Read Article

Staphylococcus Aureus - Wikipedia, The Free Encyclopedia
Staphylococcus aureus Infection is generally associated with breakages in the skin or mucosal membranes due to surgery open the way to a biological control therapy to help in the treatment of S. aureus infections which are becoming a growing threat due to the rise of resistance to ... Read Article

Growing Rods Spine Surgery Pictures

Challenges In EOS - Ucsfcme.com
Growing Spine Study Group Traditional Growing Rods Versus Magnetically -No previous spine surgery --> 2-year follow-up •17 MCGR patients met the inclusion criteria •12 of 17 patients had complete data available for analysis METHODS ... Return Doc

Growing Rods Spine Surgery Images

Reducing Radiation Exposure In Early-onset Scoliosis surgery ...
Title Reducing radiation exposure in early-onset scoliosis surgery patients: novel use of ultrasonography to measure lengthening in magnetically-controlled growing rods ... Fetch Content

Growing Rods Spine Surgery

Magnetic Technology Offers Alternative Treatment For Early ...
Traditional growing rods, which Chief of Pediatric Spine and Scoliosis Surgery at NewYork-Presbyterian/Morgan Stanley Children’s Hospital, the MAGEC [MAGnetic Expansion Control] device uses external magnets to control a rod implanted in the spine. ... Retrieve Full Source

Pictures of Growing Rods Spine Surgery

Actuator Pin Fracture In Magnetically Controlled growing rods ...
1 1 Un-Blinded Title Page 2 Actuator Pin Fracture in Magnetically Controlled Growing Rods: Two cases 3 4 Authors: Conor S Jones1,2 5 Oliver M Stokes1 ... Return Document

Growing Rods Spine Surgery Images

Vertebral Body Stapling For Scoliosis - Childrensmercy.org
Vertebral Body Stapling for Scoliosis Richard M Schwend, MD small of a deformity for the more traditional surgical treatments of either growing rods or Lateral spine radiograph during surgery showing the staples in place. ... Read Full Source

Photos of Growing Rods Spine Surgery

An Orthopedic Center Guidebook - Boston Children's Hospital
An Orthopedic Center guidebook Spinal surgery for children with neuromuscular disorders . Growing rods In young children who are still actively growing, a major spine surgery involves some risk of complications. Though not ... Retrieve Doc

Pictures of Growing Rods Spine Surgery

Early Onset Scoliosis - Rocky Mountain Orthopedics
Spine. This growth imbalance results in a deformity such as scoliosis (curve to the right or left) or brace therapy; or surgery. Surgeries include growing rods, Vertical Expandable Prosthetic Titanium Rib (VEPTR), or spinal fusion. ... Read Document

Growing Rods Spine Surgery Photos

Growing Pains: Graf Brothers Battle Through Problems Of Dwarfism
This is the third part of an occasional series on Max and Will Graf's first year of middle school. Both were born with the most common form of dwarfism. ... Read News

Images of Growing Rods Spine Surgery

The Growing Spine - Toc - Beck-shop.de
The Growing Spine Management of Spinal Disorders in Young Children Bearbeitet von Behrooz A. Akbarnia, Muharrem Yazici, George H. Thompson 1st Edition. 2010. ... Read Full Source

Photos of Growing Rods Spine Surgery

Spinal Disorders In Childhood II: Spinal Deformity - Surgery
Spinal disorders in childhood II: spinal deformity David Fender curvature is caused by an imbalance in the growth of the spine with one side of the spine growing faster than the other. bracing and surgery by way of growing rods. ... Retrieve Content

Growing Rods Spine Surgery

Your Guide To Idiopathic Scoliosis - Childrensnational.org
Idiopathic scoliosis is a condition of a child’s spine. The spine has an abnormal side-to-side shaped curve that Surgery is recommended for children with curves greater techniques as magnetically controlled growing rods (MAGEC) and intraoperative navigation. Dr. ... Return Document

Pictures of Growing Rods Spine Surgery

Flexible growing rods: A Pilot Study To Determine If Polymer ...
RESEARCH Open Access Flexible growing rods: a pilot study to determine if polymer rod constructs may provide stability to skeletally immature spines ... Access Full Source

Growing Rods Spine Surgery Pictures

Vertebral Body Stapling For Scoliosis - Children's Mercy ...
Vertebral Body Stapling for Scoliosis either growing rods or spinal fusion. maturity, the spine stops growing and the staple has done its job. What is a vertebral body staple? A metal clip that attached to the front of the spine. ... Get Content Here

Growing Rods Spine Surgery Photos

Measurement Of Forces Generated During Distraction Of growing ...
Measurement of forces generated during distraction of growing-rods in early onset scoliosis Marco Teli, Giuseppe Grava, Orthopaedic Spine Unit, Policlinico San Marco, Resi-dence Grancia, Prior to the present surgery, growing rods had been implanted in sub-fascial position ... Fetch Full Source

Bone Healing - Wikipedia, The Free Encyclopedia
Bone healing, or fracture healing, is a proliferative physiological process in which the body facilitates the repair of a bone fracture. While immobilization and surgery may facilitate healing, a fracture ultimately heals through physiological processes. ... Read Article

Economic #Scoliosis Surgery In India For A Patient From # ...
Magec Growing Rods for Scoliosis Surgery - Duration: 8:45. by Rafael Bundoc 14,456 views. 8:45 Funny Ethiopian kids Indian Iraqi Patient for Spine Surgery in India through Healthinindia - Duration: 8:00. by IHC Kuldeep 485 views. 8:00 Scoliosis - Duration: 4:07. by ... View Video

Treatment Of Thoracic Insufficency Syndrome (TIS) - Boston ...
Surgeons at Boston Children's Hospital implant a vertical director of the Division of Spinal Surgery at Boston Children's Hospital and professor of Orthopaedic a spinal surgeon at Boston Children's with expertise in congenital spine deformity and experience with ... View Video

Growing Rods Spine Surgery

Fusionless Corrections Of Early Onset Scoliosis
Fusionless Corrections of Early Onset Scoliosis Emma Orton, Biomedical Engineering, Magnetically controlled growing rods only require one surgery unless there are complications. no previous spine surgery and a thoracic ... Retrieve Document

Growing Rods Spine Surgery Photos

VEPTR: Indications And Limitations - Shriners Hospitals For ...
Growing spine treatment modalities • Spine-based or rib-based growing rods • VEPTR Lucas, G et al. Complications in Pediatric Spine Surgery Using the Vertical Expandable Prosthetic Titanium Rib: the French Experience. ... Return Document

No comments:

Post a Comment